Wednesday, April 22 2026
Breaking News
Top 7 Richest Nigerian Footballers
Fascinating!! Experience 24 Hours With Superstar Burna Boy
Top 5 Booming Side Hustles in Nigeria – New!!!
#EkitiDecides2022: Ekiti State Gubernatorial Elections in Nigeria 2022.
Elon Musk Maintains Support for Dogecoin Amid $258 Billion Lawsuit
Kwankwaso and Peter Obi Merger Closer as NNPP Executive Raises Hope
ASUU Strike: Union Announces Progress in Talks With FG
Sergey Brin: Google Co-founder, Worth $93, Seeks Divorce From Wife
20 Pet Cats Eat Owner’s Corpse in Russia
Russia Fines Google $260,000 for Breaking Data Law
Dogecoin Investor Sues Elon Musk and Tesla for $258 Billion
Facebook to Change ‘Discovery Engine’ to Compete With TikTok
Binance to Hire 2,000 Amid Mass Crypto Layoff
Boxing Legend Tyson Fury Reveals Plans to Fight The Rock
Francoise Bettencourt Meyers: World’s Richest Woman Overtakes Mark Zuckerberg For Wealth
Bill Gates Blasts Crypto and NFTs Amid Bear Market
SpaceX Starship Rocket to Launch in July
Internet Explorer to Cancel Operation After 27 Years
FG Orders Twitter, Tiktok, and Others to Appoint Nigerian Representatives
Bitcoin Crashes Below $21,000 as Crypto Sell-off Continues
Facebook
X
Pinterest
YouTube
Instagram
Mixcloud
Log In
Sidebar
Switch skin
Search for
Home
HOOK UP!
Log In
Register
News Feed
Live Radio
Nigerian Radio
Listen Live To Naija 102.7 FM Lagos
Naija FM 102.7 Live Broadcast
NaijaFM 101.1 Online – Listen Live
Wazobia FM 94.1 Port Harcourt | Listen Live
Wazobia FM 95.1 Lagos | Listen Live
Wazobia FM 99.5 Abuja | Nakowa Station Listen Live
Video Contest
Naija FM Competitions
Hook Up!
Talk Your Own!
View Profile
Messages
Find Active Members
Friend Members
Subscriber Preferences
Profile Settings
Terms of Service
PRIVACY POLICY
DCMA
Lyrics
New Artist
VIDEO
JUKEBOX
MIXTAPES
Home
/
Naija Gist
Naija Gist
Oladipupo
September 18, 2021
420
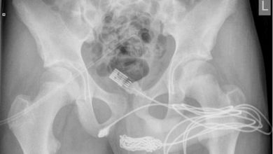
15-year-old Suffers Horrible Penis Accident as USB Cable Gets Stuck in His Blokus
Oladipupo
September 16, 2021
455
DJ Cuppy Caught Kissing Her Dog in Shocking Video as Fans Slam Her
Oladipupo
September 8, 2021
408
Annie Idibia Raises Hell as 2Face Runs to the United States
Oladipupo
September 3, 2021
456
Annie Idibia Slams 2face For Sleeping With Baby Mama
Oladipupo
August 31, 2021
548
Shocking Secrets About Bobrisky as He/She Turns 30
Oladipupo
August 21, 2021
419
Apostle Suleman in Shocking Sex Scandal With Nigerian Actress
Oladipupo
August 20, 2021
479
Shocking Reason PSquare’s Paul Okoye’s Marriage with Wife Anita Crashed
Oladipupo
August 19, 2021
534
5 Shocking Facts About Comedian AY as he Turns 50
Oladipupo
August 16, 2021
489
Socialite Pretty Mike Shocks Everyone By Attending Wedding With a Native Doctor
Oladipupo
August 14, 2021
407
Sound Sultan’s Wife Cries Out After Attack From Hackers
Previous page
Next page
Back to top button
Close
Search for
Close
Log In
Forget?
Remember me
Log In