
15-year-old Suffers Terrible Penis Accident as USB Cable Gets Stuck in His Blokus
-
A 15-year-old boy almost lost his penis in an awkward accident while he tried measuring it with a USB cable
-
The teenager reportedly inserted the cable into his manhood but the experiment had severe repercussions as it became lodged in his urethra
-
The boy had to undergo surgery to get the 16-inch cable out of his phallus
In today’s episode of risky sexperiments, a 15-year-old boy in the United Kingdom almost caused permanent damage to his penis.
Incited by sexual inquisitiveness, the UK teenager inserted a USB wire into his urethra to measure the length of his blokus.
The weird experiment backfired as the wire got stuck inside his phallus, causing excruciating pain.
Despite the best attempts by the teenager to remove the object by himself, the cord tangled and dangled out of his penis.
The hurting kid had to be transported to the hospital after he began urinating blood.
After they failed to get the internal measuring tape out, he was transferred to University College Hospital London where surgery was carried out.
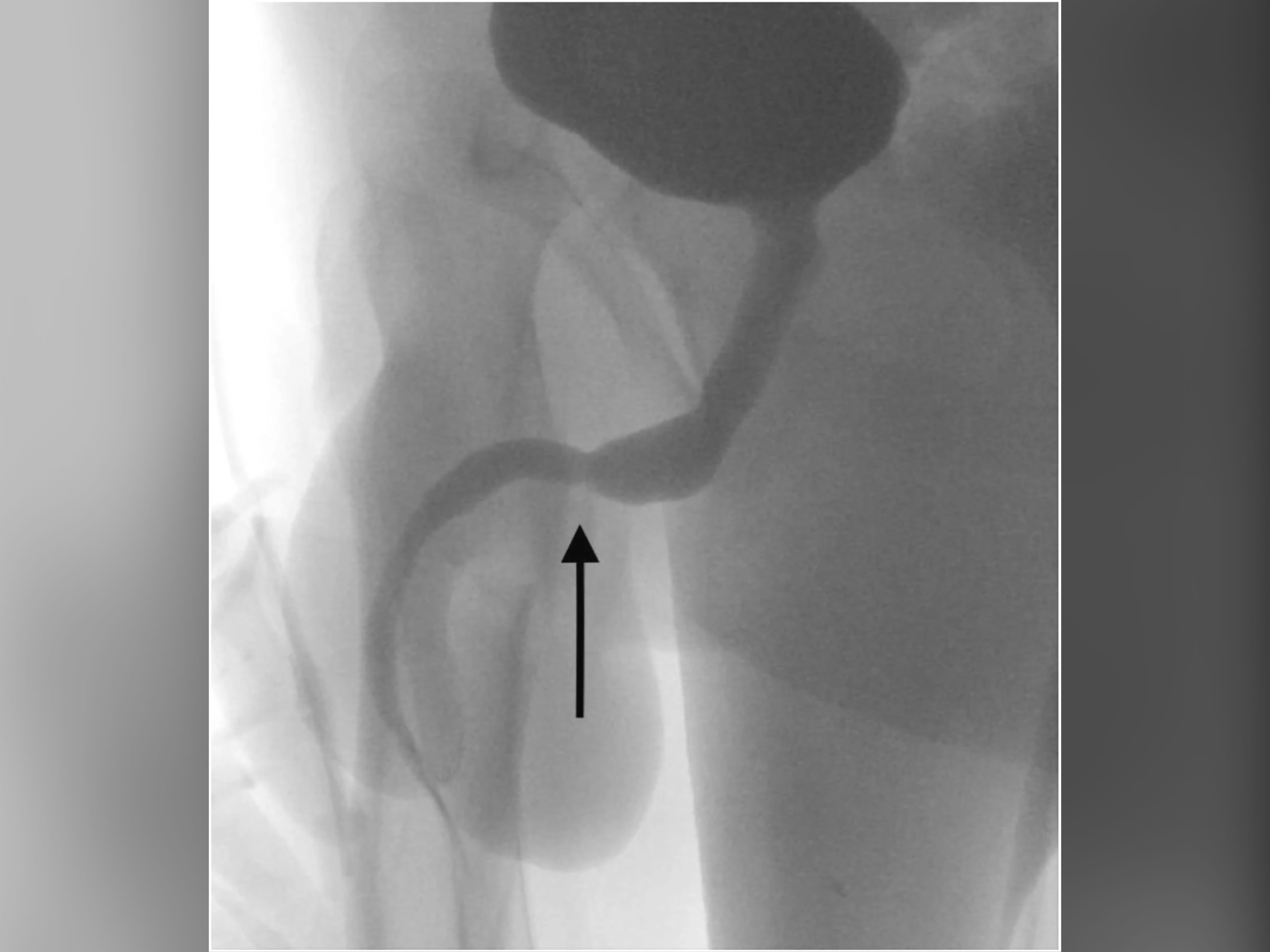
X-rays revealed that the veritable Gordian Knot of the USB cable in the urethra of the teenager.
Read also: Rapper Dan Sur Goes Viral After Implanting Gold Chains Into His Scalp
Surgeons had to make an incision in between his genitals to get the bloody cable out.
Thankfully, the boy recovered and was discharged the following day but he thought other kids a valuable lesson about how not to measure their genitals.
Follow Naija.fm on our social media handles Facebook, Instagram, and Twitter to keep up with trending news, breaking news, entertainment news, and hot gist






